Arq. Bras. Cardiol. 2018; 110(1): 101
Cor Triatriatum Sinistrum
DOI: 10.5935/abc.20170138
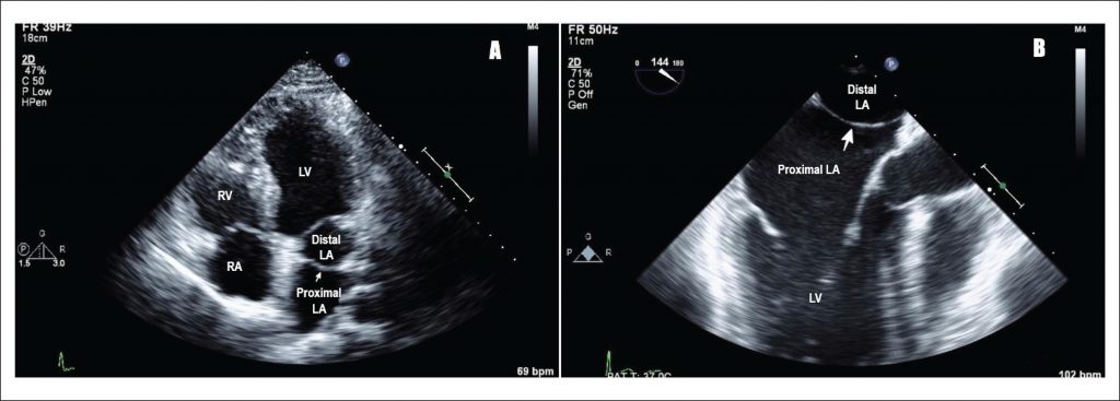
A 25-year-old male presented to clinic with complaints of palpitations. Transthoracic echocardiogram (TTE) showed presence of a membrane in left atrium suggestive of cor triatriatum []. This finding was confirmed with transesophageal echocardiogram (TEE), which revealed a membrane in the left atrium attaching at the Coumadin ridge and the atrial septum, just caudal to the fossa ovalis [].
[…]
2,755

