Arq. Bras. Cardiol. 2018; 111(1): 21-28
Mid- and Longterm Neo-Aortic Valve Regurgitation after Jatene Surgery: Prevalence and Risk Factors
DOI: 10.5935/abc.20180111
Abstract
Background:
Jatene surgery became the surgical procedure of choice to repair transposition of the great arteries (TGA) in neonates and infants. Late complications, mainly related to the pulmonary outflow tract and coronary arteries, are well known. The behavior of the neo-aortic valve is a cause of concern because of its potential for requiring late reoperation.
Objectives:
To assess the prevalence and risk factors of neo-aortic valve regurgitation in 127 patients in the late postoperative period of the Jatene surgery.
Methods:
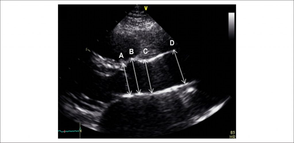
Of the 328 survivors of the Jatene surgery at the Biocor Institute from October 1997 to June 2015, all patients undergoing postoperative follow-up were contacted via telephone, 127 being eligible for the study. The patients were divided into two groups, simple TGA and complex TGA groups, with follow-up means of 6.4 ± 4.7 years and 9.26 ± 4.22 years, respectively. Echocardiography was performed with adjusted measurements (Z-score) of the neo-aortic annulus, sinus of Valsalva, sinotubular region and ascending aorta, as well as quantification of the neo-aortic valve regurgitation grade.
Results:
The incidence of mild neo-aortic valve regurgitation was 29% in a follow-up of 7.4 ± 4.7 years. Moderate regurgitation was identified in 24 patients with age mean (± standard-deviation) of 9.81 ± 4.21 years, 19 of whom (79%) in the complex TGA group. Those patients had a higher aortic annulus Z-score. The reoperation rate due to neo-aortic regurgitation associated with aortic dilation was 1.5%, all patients in the complex TGA group.
Conclusion:
This study shows that, despite the low incidence of reoperation after Jatene surgery due to neo-aorta dilation and neo-aortic valve regurgitation, that is a time-dependent phenomenon, which requires strict vigilance of the patients. In this study, one of the major risk factors for neo-aortic valve regurgitation was the preoperative pulmonary artery diameter (p < 0.001).
888

