Arq. Bras. Cardiol. 2017; 108(5): 480-483
Myocardial Deformation by Echocardiogram after Transcatheter Aortic Valve Implantation
DOI: 10.5935/abc.20170013
Introduction
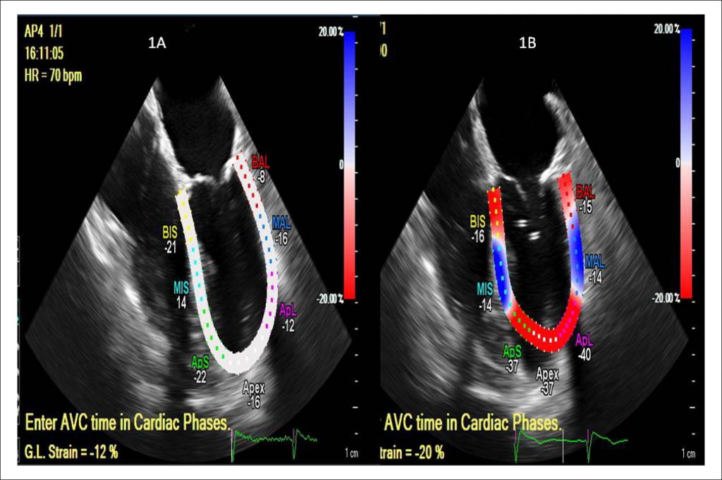
Myocardial deformation (strain) analysis may be done through echocardiography from data obtained by tissue doppler technique or two-dimensional images from speckle tracking, allowing the calculation of longitudinal, circumferential and radial deformations of myocardial fibers., Myocardial strain analysis has recently been used in the evaluation of regional myocardial movement and function and in the systolic time-to-peak calculation which studies cardiac synchronicity and myocardial electromechanical coupling. In clinical practice, conventional echocardiographic investigation is helpful in detecting global myocardial dysfunction and alterations in ventricular segmental contractility. In cardiotoxicity from the use of chemotherapeutics, we may find alterations in cardiac mechanics with no modification of the left ventricle ejection fraction (LVEF). Thus, the analysis of myocardial deformation brings relevant information in the analysis of regional ventricular systolic dysfunction in subclinical conditions.
Similarly, previous investigations have shown that the study of myocardial deformation is able to detect sudden and early alterations in systolic function of valve disease patients, even before they present LVEF modifications.,, This phenomenon is due to a significant decrease in myocardial deformation in three different spatial planes, triggering deformation modifications in the longitudinal, circumferential and radial axes. In patients who present reduced longitudinal myocardial deformation, we can observe radial deformation that is superior to normality parameters, which may result in preserved ventricular function, when estimated by LVEF. Other applications of myocardial deformation include amyloidosis, hypertrophic cardiomyopathy, right ventricular dysfunction, athlete’s heart, cardiac dyssynchrony and valve diseases (mitral insufficiency and aortic stenosis).
[…]
972

