Arq. Bras. Cardiol. 2022; 118(5): 1000-1001
Artéria Coronária Direita Intracavitária: Um Achado Incidental com Potenciais Implicações para Procedimentos Cardíacos Invasivos
Um homem de 66 anos com história de palpitações sugestivas de taquicardia supraventricular paroxística foi encaminhado para angiotomografia (ATC) para investigação da etiologia da dispneia de esforço. A TC cardíaca controlada por ECG foi realizada usando o Somatom Go Scanner de fonte dupla de 64 cortes.
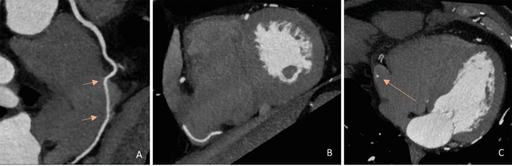
A ATC mostrou a origem normal dos troncos das coronárias direita e esquerda, e não havia evidência de doença arterial coronariana obstrutiva. A artéria coronária direita proximal (CD) tinha um trajeto epicárdico normal, mas notou-se que a mediana penetrava na parede atrial direita por um trajeto de 30 mm dentro do átrio direito, saindo para seu trajeto usual no sulco atrioventricular posterior, conforme demonstrado via as imagens de TC de reconstrução multiplanar na projeção de intensidade máxima ( ), bem como as reconstruções tridimensionais ( ).
[…]
764

