Arq. Bras. Cardiol. 2020; 115(1 suppl 1): 22-24
Um Caso de Doença Cardíaca Metastática Revelada após Infarto Agudo do Miocárdio e Pericardite
Introdução
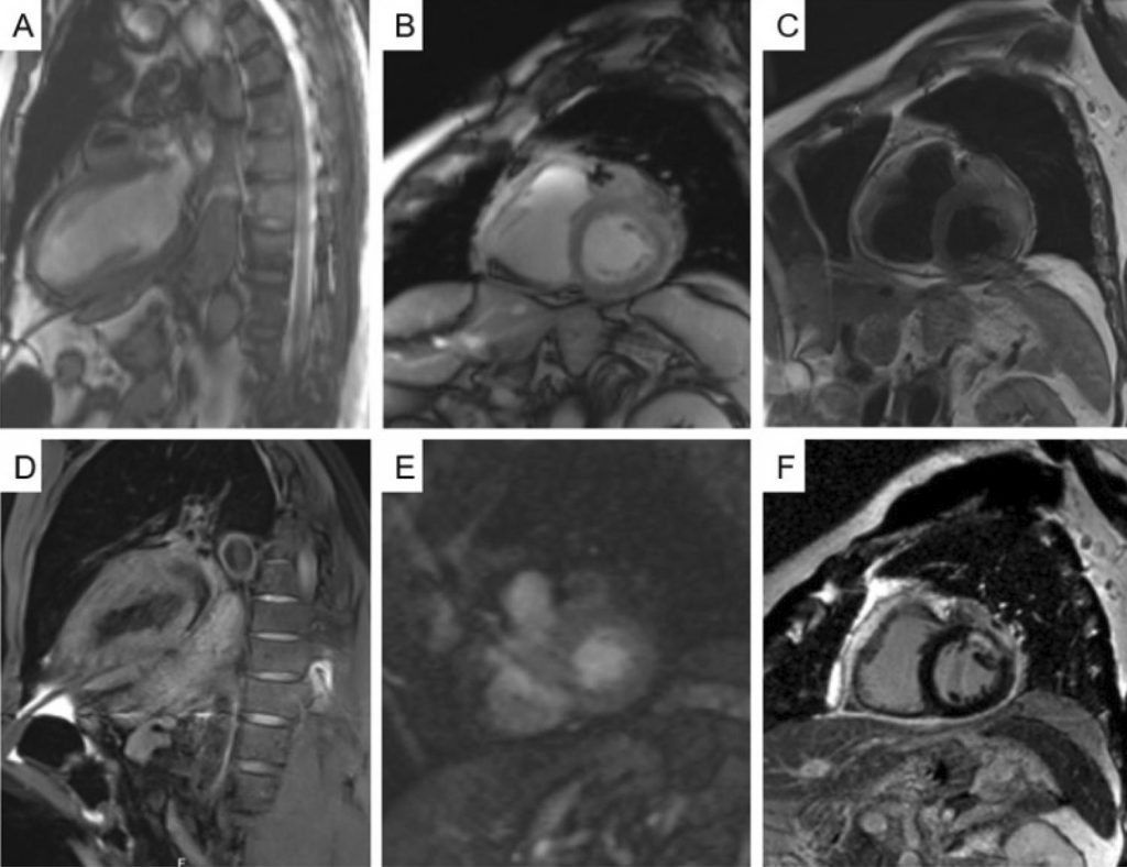
As metástases no coração e pericárdio são muito mais comuns que os tumores cardíacos primários e geralmente estão associadas a mau prognóstico. , Embora sejam mais frequentemente assintomáticas, as metástases cardíacas podem simular doenças cardíacas primárias, como síndromes coronárias agudas, insuficiência cardíaca congestiva e pericardite. , O câncer de pulmão é a fonte mais frequente de doença cardíaca metastática, seja por extensão direta ou por uma combinação de disseminação linfática, hematogênica e transvenosa. ,
[…]
774

 
							